VAKA 30: Kasık Yerleşimli Soliter Fibröz Tümör
- Gösterim: 26
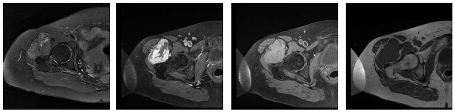
Kasık bölgesinde şişlik ile başvuran hastanın klinik muayenesi ve radyolojik tetkiklerinde yumuşak doku tümörü saptandı. İğne biyopsisinde yumuşak doku sarkomu (Soliter Fibröz Tümör) tanısı konulan hastanın taramalarında metastaz saptanmaması üzerine radyoterapiyi takiben geniş rezeksiyon ile tümör temiz sınırlar ile çıkarıldı.
Ameliyat Öncesi: MR’da sağ kalça eklemi anterior yerleşimli düzensiz sınırlı heterojen yumuşak doku kitlesi görülmekte

Ameliyat Esnası: Biyopsi traktını eksize edecek şekilde insizyon planlama ve tümör çıkarıldıktan sonra oluşan boşluk görülmekte

Ameliyat Esnası: Çıkarılan tümörün klinik görüntüsü görülmekte


