Vaka 10: Böbrek Kanseri (Renal Hücreli) Sağ Dirsek Kemiği (Proksimal ulna) Metastazına Bağlı Kırık Riski
- Gösterim: 6
ChatGPT:
Detaylı Hasta Bilgileri ve Tedavi Süreci
Hasta Bilgileri:
44 yaş erkek hasta. Böbrek kanseri nedeniyle ameliyat öyküsü mevcut ve akıllı ilaç kullanmakta. Bilinen kemik metastazları mevcut. Sağ dirsekte 3 aydır artan ağrı ve kuvvet kaybı şikayeti ile başvurdu.
Uygulanan Tedavi:
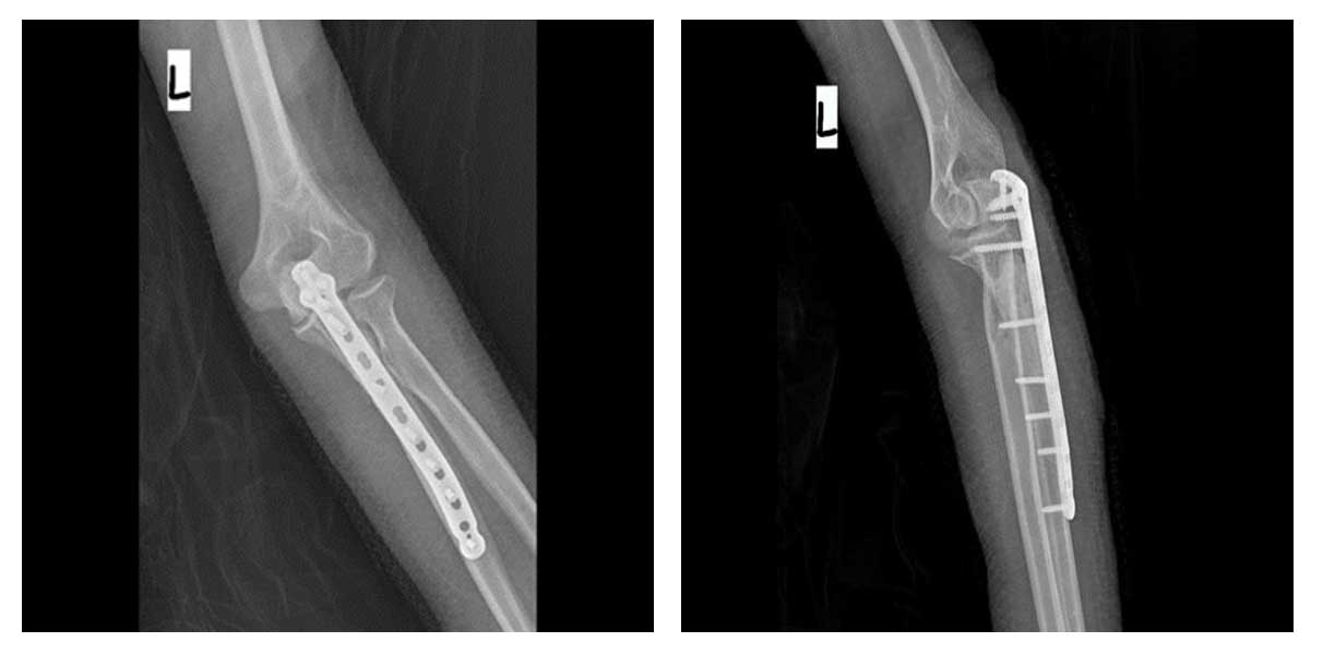
Kemikteki tümörlü doku temizlendikten sonra oluşan boşluk kemik çimentosu (PMMA) ile dolduruldu ve bölge anatomik titanyum plak ile stabilize edilerek kırık riski ortadan kaldırıldı.
Sonuç:
Ameliyat sırasında ve sonrasında komplikasyon gelişmeyen hasta taburculuk sonrası ikinci haftada dikişleri alındıktan sonra radyasyon onkolojisine yönlendirildi. Kol fonksiyonları belirgin şekilde iyileşti ve ağrılarında azalma sağlandı.
Görsel Açıklamaları

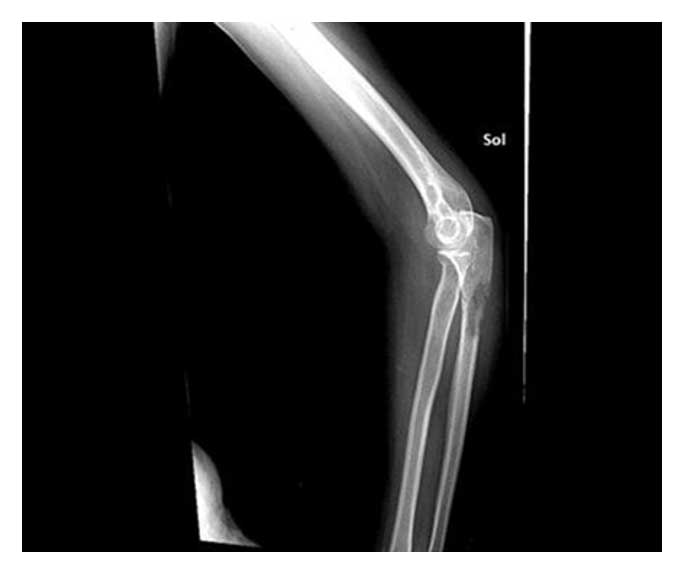
Ameliyat Öncesi: Röngende proksimal ulnada yeniklik ve kırık riski görülmekte.

Ameliyat Esnası: Tümörün çıkarılması, titanyum plak ile fiksasyon ve oluşan boşluğun kemik çimentosu ile güçlendirilmesi görülmekte.

Ameliyat Sonrası: Röntgende kemikteki tümörün temizlenmesi sonrası oluşan boşluğun kemik çimentosu ile doldurulması ve anatomik titanyum plak ile güçlendirilmesi görülmekte.

