Vaka 9: Akciğer Kanseri Kol Kemiği (Humerus) Metastazına Bağlı Kırık Riski
- Gösterim: 12
ChatGPT:
Detaylı Hasta Bilgileri ve Tedavi Süreci
Hasta Bilgileri
• 63 yaş erkek hasta
• Akciğer kanseri nedeniyle aktif tedavi görmekte ve bilinen metastazları mevcut
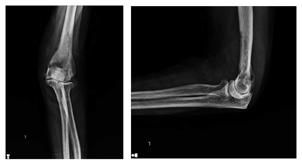
• Sağ distal humerus metastazı nedeniyle radyoterapi uygulanmış ancak yeterli sonuç alınamamış
• Şiddetli ağrı ve hareket kısıtlılığı nedeniyle günlük yaşam aktivitelerinde zorlanmakta
Uygulanan Tedavi
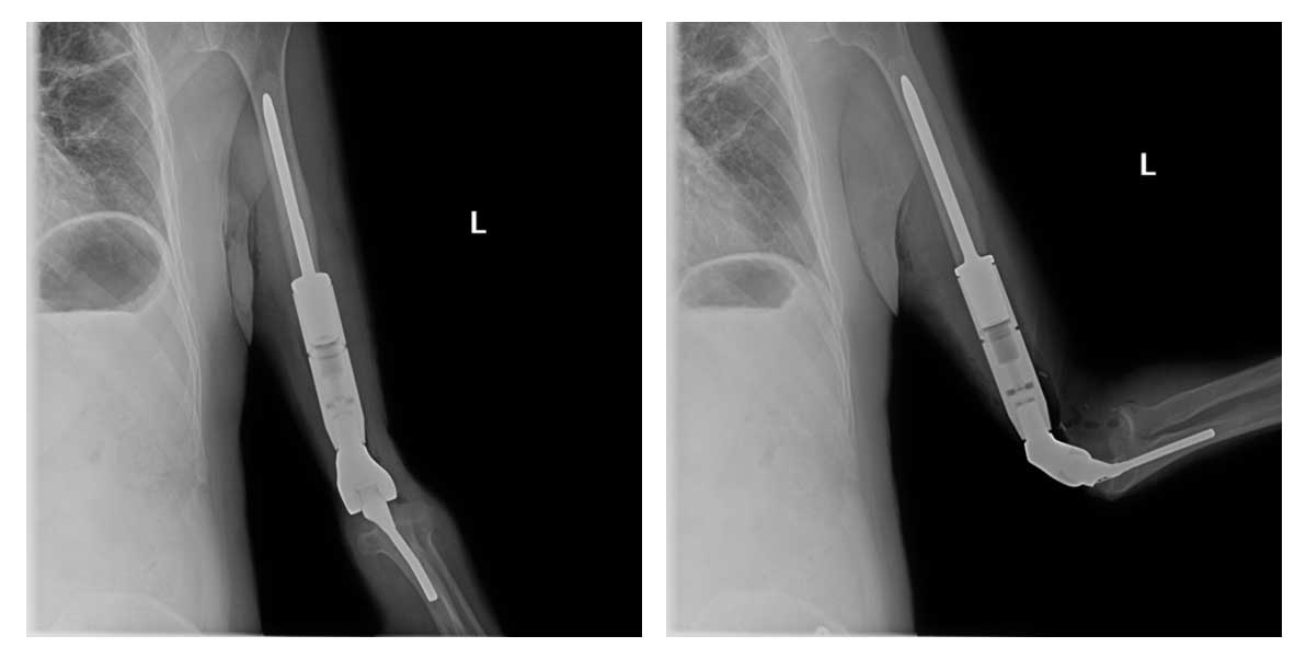
Kemiğin tümörlü kısmı cerrahi olarak çıkarıldıktan sonra uygun tümör protezi yerleştirildi.
Sonuç
Ameliyat sonrası dönemde herhangi bir komplikasyon gelişmeyen hasta, ağrısız şekilde kolunu kullanmaya başlamış ve rehabilitasyon sürecine yönlendirilmiştir.
Görsel Açıklamaları

Ameliyat Öncesi: Röntgende humerus alt uçta düzensizlik görülmekte.

Ameliyat Öncesi: MR’da aynı bölgede ciddi harabiyet ve çevreleyen yaygın ödem görülmekte.

Ameliyat Sonrası: Röntgende çimentolu distal humerus protezinin uygulanımı görülmekte.

