Vaka 7: Böbrek (Renal hücreli) Kanseri Sağ Kol (Humerus) Kemiği Metastazına Bağlı Kırık
- Gösterim: 13
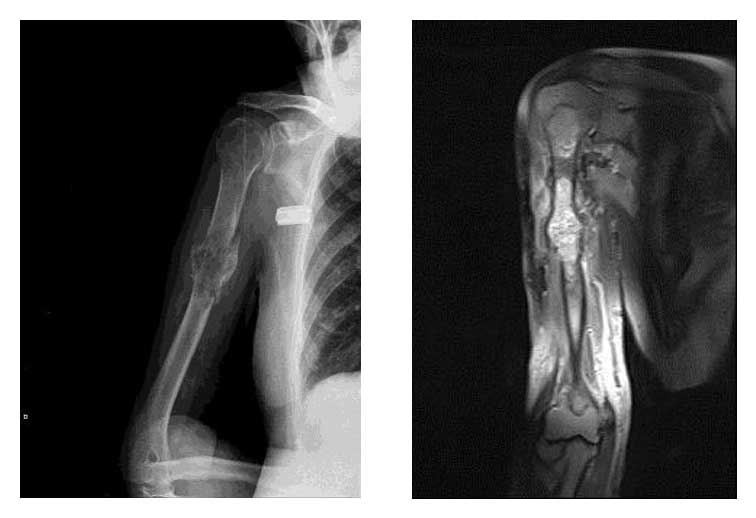
Böbrek kanseri (RCC) hastalarında kemik metastazları, özellikle uzun kemiklerde kırık riskini artırır. Bu vakada sağ kol kemiğinde gelişen metastatik kırık, cerrahi olarak başarılı şekilde tedavi edilmiştir.
Detaylı Hasta Bilgileri ve Tedavi Süreci
Hasta Bilgileri
• 67 yaş erkek hasta
• Böbrek kanseri (RCC) nedeniyle tedavi görmekte
• Bilinen kemik metastazları mevcut
• Sağ kol kemiği metastazına bağlı kırık nedeniyle daha önce alçı ve radyoterapi uygulanmış ancak sonuç alınamamış
Uygulanan Tedavi
Kırık ve tümörlü kemik bölgesi çıkarılarak yerine tümör protezi yerleştirildi.
Sonuç
Ameliyat sonrası süreç sorunsuz ilerledi, hastanın yarası ikinci haftada tamamen iyileşti ve sistemik medikal tedavisine devam edildi.
Görsel Açıklamaları

Ameliyat Öncesi: Röntgen ve MR’da sağ humerus orta kısımda yeniklik, kaynamamış kırık ve üst uca kadar yayılım gösteren metastaz odağı.

Ameliyat Esnası: Çıkarılan kırık ve tümörlü humerus kemiğinin klinik ve radyolojik görüntüsü.

Ameliyat Sonrası: Röntgende çimentolu humerus üst uç tümör protezi görülmekte.

